こんにちは。たんぽぽキャットクリニックです。
今日は「猫の吸収病巣(FORL)」についてお話しします。
「歯が自然に溶けてしまう」――そんな不思議で、そして痛みを伴う病気が、猫ちゃんにとても多いことをご存じでしょうか。
海外では成猫の 約3割〜5割 に見られるともいわれ、決して珍しくない病気です。
しかし、外から見ても分かりにくいため「気づいたときにはかなり進んでいる」ことも少なくありません。
吸収病巣ってどんな病気?
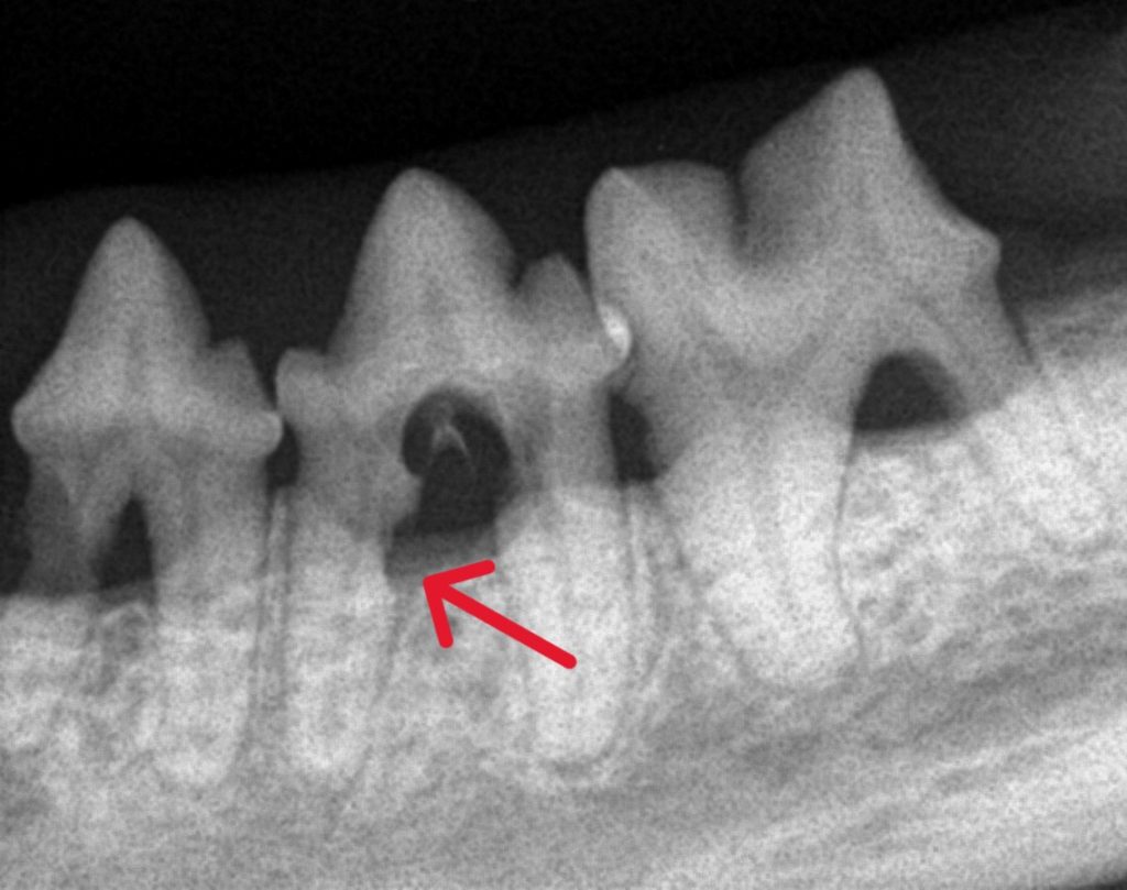
見た目では歯がしっかりしているように見えても、歯科用レントゲンを撮ると歯が根元から溶けていることがはっきり分かります。


吸収病巣(FORL:Feline Odontoclastic Resorptive Lesions)は、歯の表面や根の部分が少しずつ溶けていってしまう病気です。
しかも自然に治ることはなく、放っておくと進行していきます。
飼い主さんが気づけるサイン
- 硬いものを食べなくなった
- カリカリを数粒でやめてしまう
- 食事中に顔をしかめる、口を気にする仕草がある
- ごはんを残すことが増えた
- 口臭が強くなった
ただし、初期の段階ではほとんど症状が出ないこともあります。
だからこそ「定期的な歯科検診」が重要になります。
治療はどうするの?
吸収病巣の根本的な治療は 抜歯 です。
「歯を残せないの?」と思う方も多いのですが、溶けてしまった歯を治す方法はありません。
無理に残しても痛みが続くだけで、食欲が落ちたり体重が減ってしまいます。
当院では、歯科用レントゲンで状態を確認し、必要に応じて部分的あるいは全体的に抜歯を行います。
抜歯後は「痛みがなくなって元気に食べるようになった!」というケースがほとんどです。
対症療法について
一時的にステロイドや消炎鎮痛剤を使い、痛みを抑える方法もあります。
ただしこれは 根本的な治療ではなく、あくまで一時しのぎ です。
当院では猫ちゃんの生活の質を考え、短期的には行っても、長期的な方法としてはおすすめしていません。
まとめ
吸収病巣は、猫にとても多い「歯が溶けてしまう病気」です。
外からは分かりにくいため、レントゲン検査で初めて診断できるケースが多いのが特徴です。
「食べ方が変わった」「硬いものを避けるようになった」
そんなサインが見られたら、ぜひ早めに動物病院で歯科検診を受けてくださいね。
次回予告
次回は「尾側口内炎(FCGS)」について。
強い炎症と痛みを伴い、治療に苦労する病気です。
最新の治療法(RetroMAD1やモルヌピラビル)についてもご紹介します🐾





